Пациент: К., 15 лет
Врач: Якушенков Владислав Викторович, врач-стоматолог, ортодонт
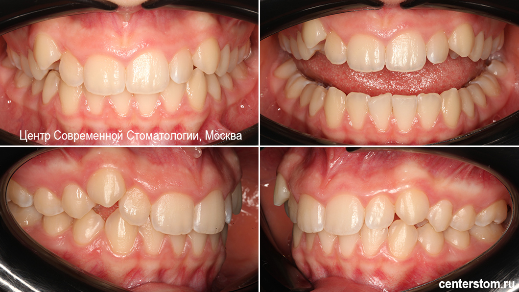
Причина обращения пациента: выпирающие клыки наверху, неровность зубов
Решение: лечение на элайнерах Invisalign
Срок лечения: 30 месяцев (2,5 года)
Когда К. впервые пришла на консультацию, то пожаловалась на выпирающие верхние клыки и неровные зубы. В подростковом возрасте такая улыбка может стать причиной неуверенности, нежелания улыбаться и психологического дискомфорта. Мы сразу же провели диагностику, которая выявила причины дефекта прикуса, кроющиеся в строении челюстей:
Чем это было опасно в будущем? Во-первых, невозможность качественной гигиены: в скученных областях щётка не может вычистить весь налёт, что ведёт к кариесу и воспалению дёсен. Во-вторых, повышен риск преждевременной стираемости - неправильные контакты зубов приводят к их износу.

Ключевой задачей было бережно расширить челюстные дуги, создав необходимое пространство для всех зубов. Для такого масштабного и длительного преобразования была выбрана система Invisalign. Диагностика – основа предсказуемости результата:
На платформе ClinCheck был создан виртуальный сценарий перемещения зубов. Доктор распланировал каждый микроэтап: как будут постепенно расширяться дуги, как клыки шаг за шагом займут своё место, как выровняются нижние зубы.
Почему Invisalign? Для такого случая это был идеальный выбор, поскольку элайнеры оказывают мягкое, но очень точное давление, идеально подходящее для дозированного расширения челюстных дуг. Предсказуемость коррекции прикуса системой Invisalign очень высока, поскольку весь 2,5-летний путь врач планирует заранее. К тому же для подростка важно, чтобы лечение не становилось поводом для насмешек. Прозрачные каппы были практически невидимы, а уход за ним очень прост, поскольку каппы, в отличие от брекетов, можно снимать перед едой и чисткой зубов.
Лечение потребовало терпения и соблюдения всех рекомендаций:
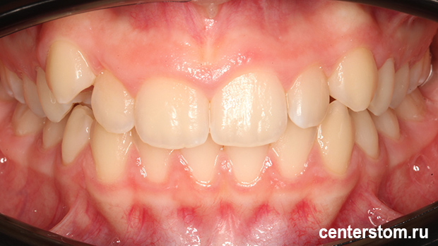
Через 30 месяцев упорной совместной работы мы достигли всех целей лечения. Расширены верхняя и нижняя зубные дуги, клыки заняли правильное место в ровном зубном ряду. Исчез эффект «вампирской» улыбки.
Полностью устранена скученность на нижней челюсти. Зубы выстроились в ровную линию. Создан стабильный, физиологичный прикус. Теперь нагрузка распределяется правильно, минимизируя риски проблем в будущем. Улыбка стала открытой, красивой и уверенной.

Комментарий лечащего врача, Владислава Викторовича Якушенкова:
«Случай пациентки К. показывает, что современная ортодонтия лечит не отдельные зубы, а восстанавливает баланс всей зубочелюстной системы. Элайнеры Invisalign позволили сделать это максимально физиологично и контролируемо на протяжении всего долгого пути. Самый ценный результат – это не только ровные зубы сейчас, но поддержка здоровья всей системы в будущем. Ну и конечно – создание красивой улыбки, о которой так мечтала наша пациентка!»