Пациент: Е., 31 год
Врач: Якушенков Владислав Викторович, врач-стоматолог, ортодонт
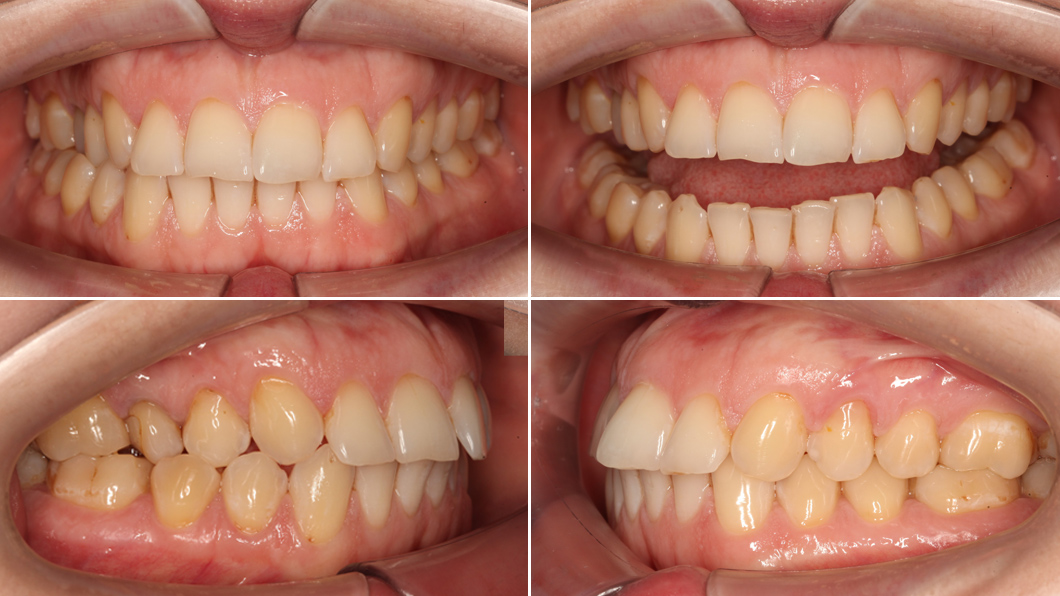
Причина обращения пациента: скученность передних зубов, перекрёстный прикус справа, невозможность протезирования тёмного и развёрнутого зуба №15
Решение: лечение на элайнерах Invisalign с использованием кнопок (аттачментов) и эластиков
Срок лечения: около 1,5 лет (390 дней активного ношения и плюс время изготовления капп)
Пациентка Е. обратилась в нашу клинику с двумя основными жалобами: неровные, скученные передние зубы и невозможность качественно восстановить верхний зуб справа (№15), который был тёмным и развёрнутым. Стоматолог-ортопед не мог приступить к протезированию, потому что вокруг проблемного зуба не было необходимого пространства, а весь прикус в этой зоне был нарушен.

Диагностика выявила две ключевые ортодонтические проблемы:
Почему важно корректировать перекрестный прикус:
Задачи ортодонта в случае пациентки Е. – исправить прикус и создать идеальные условия для последующей работы ортопеда, т.е. протезирования.
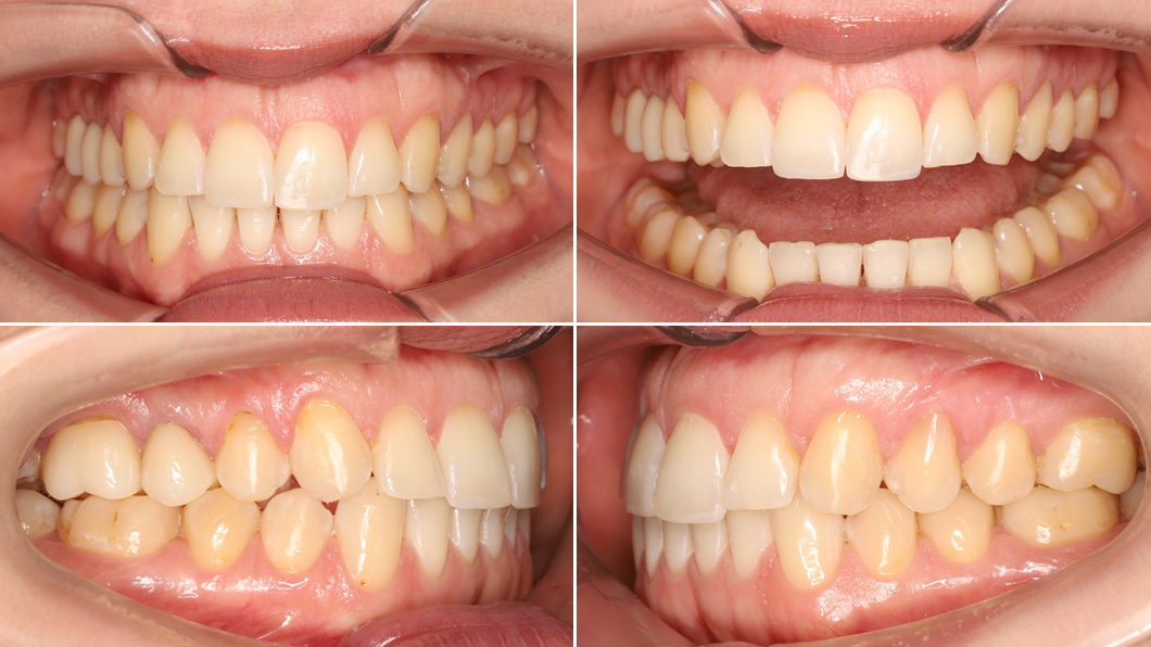
Е., как и многие взрослые пациенты, хотела максимально незаметное и комфортное лечение, поэтому выбор пал на прозрачные элайнеры Invisalign. Виртуальный план лечения (ClinCheck) показал, что для достижения обеих целей потребуется 39 комплектов (пар) капп.
Ключевые элементы плана:
Для выполнения таких точных и сложных движений одних элайнеров иногда недостаточно. В ходе лечения пациентке Е. были установлены ортодонтические кнопки (аттачменты) – это небольшие точки из композита на зубах, которые помогают каппам лучше захватывать зуб и передавать ему необходимое усилие для поворота или вертикального перемещения.
Также использовались межчелюстные эластики – специальные резиновые тяги, которые пациентка надевала самостоятельно по схеме, заданной врачом. Они создавали дополнительную направленную силу, необходимую для коррекции перекрёстного прикуса.
Коррекция длилась около 1,5 лет. Пациентка Е. ответственно подходила к процессу: носила каждый комплект элайнеров не менее 20-22 часов в сутки, своевременно меняла каппы и эластики. Регулярные контрольные приёмы у Владислава Викторовича позволяли отслеживать прогресс и при необходимости вносить коррективы.
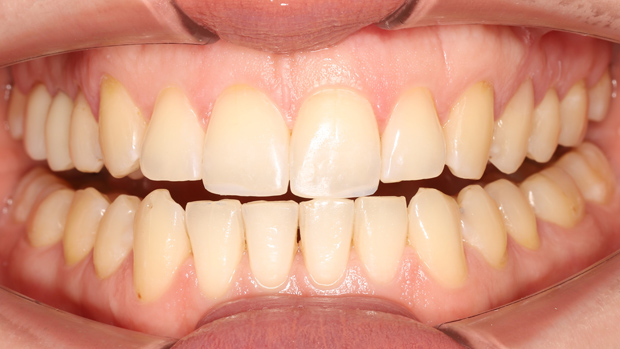
По завершении ортодонтического этапа были достигнуты все поставленные цели:

Комментарий лечащего врача, Владислава Викторовича Якушенкова:
«Это наглядный пример того, что ортодонтия и протезирование неразрывно связаны. Часто невозможно сделать качественный, долговечный и красивый протез при наличии дефекта прикуса. Наша задача состояла в том, чтобы выровнять зубы и создать идеальные условия для для будущей коронки. Элайнеры Invisalign в сочетании с дополнительной механикой позволили нам полностью решить эту задачу и при этом сохранить незаметность на всём протяжении лечения, что для взрослого пациента особенно важно».