Пациент: Д., 19 лет
Врач: Якушенков Владислав Викторович, врач-стоматолог, ортодонт, совместно со стоматологом-гигиенистом
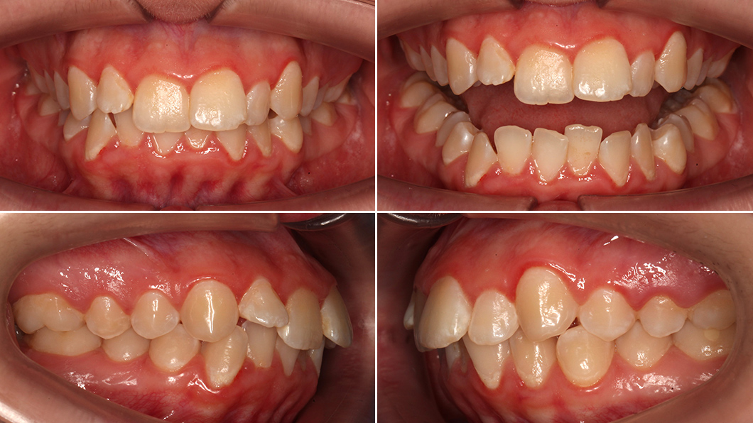
Причина обращения пациента: эстетический дефект передних зубов, наличие меловых пятен (очагов деминерализации)
Особенность: изначально – низкий уровень гигиены и ослабленная эмаль
Решение: комплексная подготовка (гигиена и реминерализация), лечение на металлических брекетах с ретейнером и поддерживающая терапия
Срок лечения: стандартный срок коррекции на брекетах (1,5-2 года).
Когда пациент Д. пришёл на консультацию, его главным запросом была эстетика – ровные передние зубы. Однако первичный осмотр показал, что перед началом любого ортодонтического вмешательства необходимо решить более важные задачи.
Что нас встревожило:
Ортодонтическое лечение на таком фундаменте могло привести к осложнениям: кариесу, воспалению дёсен и ухудшению состояния эмали.

Лечение пациента Д. началось не с установки брекетов, а с создания здоровой среды в полости рта.
1. Стоматолог-гигиенист
Наталья Евгеньевна Определенкина (Зайцева) провела комплексную профессиональную гигиену – удаление зубного камня и налёта, обучение пациента Д. правильной технике чистки зубов, индивидуально подобрала средства гигиены (щётка, паста, ирригатор). Так же доктор выполнила реминерализующую терапию – это курс аппликаций специальными гелями и лаками, насыщающими эмаль кальцием и фтором. Это укрепило эмаль, снизив риск кариеса.
2. Основной этап у ортодонта
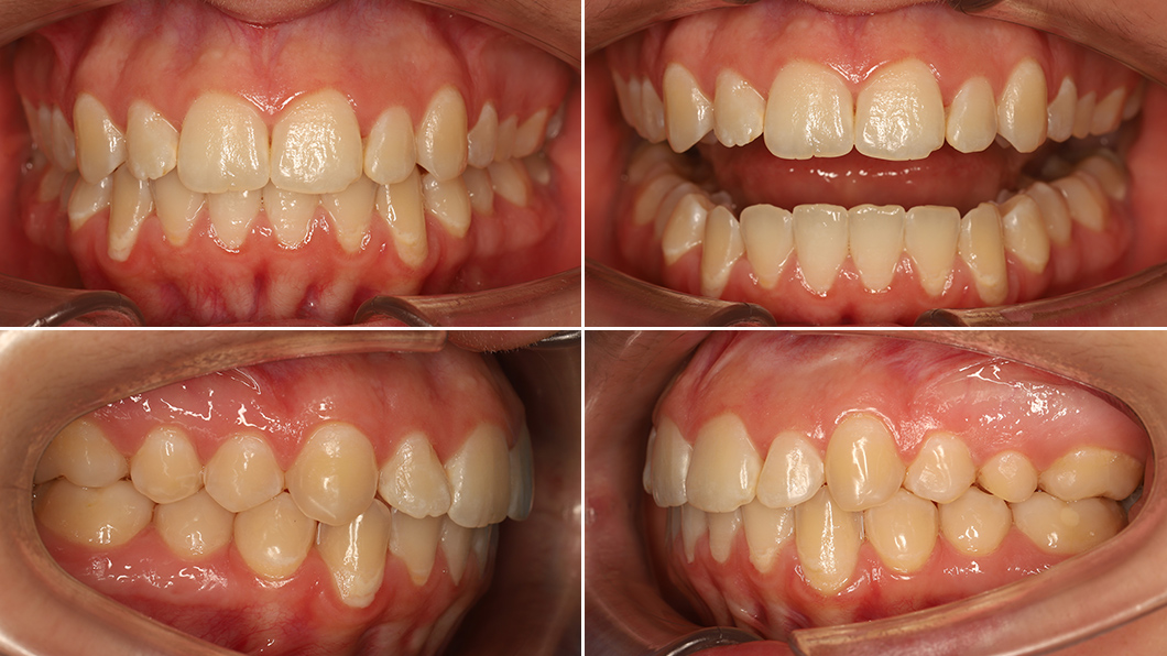
Только после того, как была проведена гигиена, а эмаль укреплена, доктор установил классические металлические брекеты. Они были выбраны за свою надёжность и эффективность. На всём протяжении лечения (раз в 3-4 месяца) Наталья Евгеньевна проводила регулярную профгигиену, контролируя состояние эмали и дёсен вокруг брекетов.
3. Завершающий этап
После снятия брекетов для закрепления результата на обе челюсти были зафиксированы несъёмные ретейнеры – тонкие проволоки с внутренней стороны передних зубов. Был назначен повторный курс реминерализующей терапии, чтобы восстановить эмаль в местах контакта с замочками и придать ей равномерный блеск и цвет.


Комментарий лечащего врача, Владислава Викторовича Якушенкова:
«Этот случай – пример важности комплексного подхода к лечению. Мы могли бы просто поставить брекеты и устранить дефект. Но тогда пациент получил бы ровные, но, возможно, поражённые кариесом зубы с воспалёнными дёснами. Работа гигиениста создала здоровые условия в полости рта, чтобы избежать таких последствий. Только комплексный подход гарантирует, что красивая улыбка будет ещё и здоровой на долгие десятилетия».