Пациент: Н., 29 лет
Врач: Якушенков Владислав Викторович, врач-стоматолог, ортодонт
Причина обращения пациента: выпирающие передние зубы, скученность, трудности с откусыванием пищи. Повторное лечение после ношения брекетов
Решение: комплексное ортодонтическое лечение с использованием брекет-системы и ортодонтических минивинтов
Срок лечения: 2 – 2,5 года.
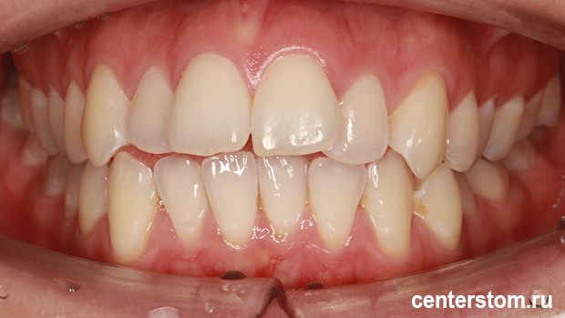
Пациентка Н. пришла в нашу клинику с двумя главными проблемами: неэстетичная улыбка из-за выпирающих верхних резцов и скученности, и нарушения жевания – ей было трудно откусывать пищу. При этом в подростковом возрасте она уже проходила ортодонтическое лечение на брекетах, но результат не был стабильным.
Диагноз, поставленный Владиславом Викторовичем, звучал как дистальный прикус 2 класса. Но что это значит? Это одна из самых распространённых патологий, при которой нижняя челюсть развита недостаточно и смещена назад относительно верхней челюсти (западение нижней челюсти кзади относительно верхней). Визуально это часто выглядит как «запавший» или скошенный подбородок, а верхние зубы заметно выдаются вперёд. Именно из-за этого дисбаланса Н. было сложно откусывать пищу – резцы просто не смыкались правильно.
Почему первое лечение на брекетах не дало долгосрочного эффекта? В основном потому, что не были соблюдены рекомендации по ретенции. Зубы выравниваются, но базовый скелетный дисбаланс (маленькая нижняя челюсть) остаётся. Со временем зубы, подчиняясь мышечному давлению, снова могут вернуться в неправильное положение.

В 29 лет челюстные кости уже сформированы, и просто брекетами решить проблему дистального прикуса крайне сложно. Для создания по-настоящему гармоничного лица и стабильного результата требовался дополнительный источник силы, воздействующий на зубы. Таким инструментом стали ортодонтические минивинты.
Что такое минивинты и зачем они нужны? Отвечает Владислав Викторович:
«Минивинт (микроимплант) – это титановый винтик размером всего 6-10 мм. Он временно устанавливается в кость под местной анестезией (быстро и малотравматично). Его задача – стать абсолютно неподвижной точкой опоры. В классическом лечении опорой для перемещения одних зубов служат другие зубы, что может привести к нежелательным эффектам. Минивинт же даёт идеальную опору, позволяя отдвинуть выпирающие верхние зубы назад, при необходимости стимулировать выдвижение нижней челюсти вперёд. К тому же это временная конструкция. После завершения активного перемещения зубов минивинты легко удаляются».
Компьютерная томография (КТ) позволила точно оценить положение корней зубов, объём костной ткани и выбрать безопасные места для установки минивинтов.
Фотометрия и анализ профиля помогли смоделировать не только ровные зубы, но и гармоничные черты лица.
На основе этих данных был разработан поэтапный план, где работа брекетов и минивинтов была чётко скоординирована.
Доктор установил пациентке Н. современную брекет-систему. На определённых этапах лечения устанавливались ортодонтические минивинты. К ним крепились специальные пружинки или эластические цепи, создающие контролируемую силу для перемещения зубных рядов. Лечение требовало регулярных активаций системы у врача и тщательной гигиены, но Н. была очень ответственной пациенткой: не пропустила ни одного посещения, записывалась на профессиональную гигиену и тщательно выполняла все рекомендации по гигиене дома.
Через 2,5 года комплексной работы был достигнут результат, который не дало первое лечение:

Комментарий лечащего врача, Владислава Викторовича Якушенкова:
«Ортодонтия взрослых требует иного подхода, чем подростковая. Мы бы не пришли к успеху, если бы просто снова «подвигали зубы». Нам нужно было изменить положение нижней челюсти относительно верхней. Минивинты – это наш стратегический инструмент, который помог добиться результата, недостигнутого при первой коррекции. Они дали нам контроль и предсказуемость, обеспечив при этом стабильность результата после ранее неудачного опыта».