Пациент: К.
Врач: Александр Вячеславович Бичель, стоматолог, хирург, имплантолог
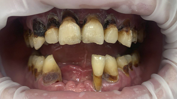
Причина обращения пациента: эстетические дефекты, неприятный запах изо рта, затруднения при пережевывании пищи, оголение корней зубов.
Особенность: 3 нижних передних резца отсутствовали, стоматофобия – боязнь стоматологического лечения.
Решение: лечения в седации – в состоянии медикаментозного сна, контролируемого врачом-анестезиологом, имплантация, протезирование.
Срок лечения: около 1 года.
2 года назад ко мне обратился пациент К. с жалобами на эстетические дефекты, неприятный запах изо рта, затруднения при пережевывании пищи, оголение корней зубов. Три нижних передних резца отсутствовали. При осмотре и после проведения КТ было установлено, что все зубы разрушены настолько сильно, что уже не подлежат терапевтическому лечению. Соответственно, проведение протезирования с опорой на собственные зубы было невозможно.

Дело осложнялось тем, что у К. была стоматофобия – боязнь стоматологического лечения, при чем она выражалась в первую очередь в паническом страхе перед иглами и уколами. Страх был настолько силен, что даже анестезия или сам вид шприца для укола вызывали у пациента дрожь и ухудшение физического состояния.
Решением для К., как и для других пациентов со стоматофобией, стало проведение лечения в седации – в состоянии медикаментозного сна, контролируемого врачом-анестезиологом. В нашем Центре есть специально оснащенная операционная для таких случаев. Операция длилась 5 часов, и все это время пациент К. спал.
Подготовку к имплантации мы начали через 2 недели после консультации. Я выбрал протокол All-on-8, «Все-на-8». В ходе операции я удалил 25 зубов, одномоментно установил 16 имплантатов Osstem (8 в верхней челюсти и 8 в нижней) и провел редуцирование костной ткани – ее выравнивание по высоте. Для этого я использовал как костный материал (собственную кость пациента из угла нижней челюсти), так и 10-15 коллагеновых губок.

Важно, что для пациента К. была выбрана отсроченная нагрузка имплантов протезами. После имплантации я наложил швы, которые снял через 2 недели. Разумеется, в течение этих двух недель пациент приезжал на осмотры для контроля состояния полости рта. После этого на протяжении 6 месяцев я наблюдал за состоянием пациента. Только через полгода после операции, когда завершился процесс приживления имплантов и восстановления тканей, мы начали работу по протезированию.
Сначала были изготовлены прототипы двух полных протезов – они нужны для выведения прикуса по буграм: мы добивались правильного соотношения челюстей по высоте. Это важно для того, чтобы исключить перегрузку височно-нижнечелюстного сустава (ВНЧС). С первым прототипом мы не попали в центральное соотношение резцов (линия между центральными передними зубами в верхней челюсти должна совпадать с линией между центральными передними зубами в нижней челюсти). Поэтому прототипы мы переделали и достигли правильного центрального соотношения.

Я провел приточку по буграм – по высоте коронок в каждом протезе, чтобы К. было комфортно. Так мы достигаем ощущения, что это «свои зубы» - ничего не мешает, пациент нормально жует и красиво улыбается. На основании прототипов началось изготовление постоянных протезов. Кстати, пациент К. отказался от ношения временных ортопедических конструкций (из финансовых соображений), так что было проведено сразу постоянное протезирование.

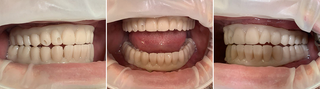
Были изготовлены 2 встречных протеза, опирающиеся на фрезерованные титановые балки. Материал коронок – диоксид циркония: 14 зубов в протезе верхней челюсти и 14 зубов в протезе нижней челюсти. Итого – 28 зубов в 2 полных зубных рядах.

Таким образом мы получили восстановление жевательной функции. Протезы были зафиксированы на мульти-юнит абатменты.

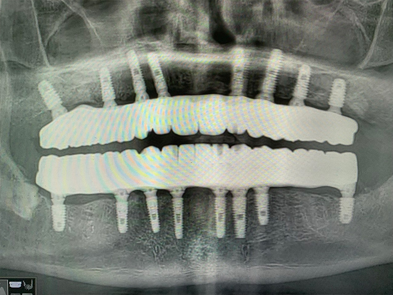
Через год я провел осмотр пациента К. т сделал контрольная ортопантомограмма. На снимке видно, что костная ткань сохранена в полном объеме. Пациент очень доволен итогом лечения, у него нет никакого дискомфорта, улыбка выглядит красиво и естественно. У К. хорошая гигиена, он следит за состоянием полости рта, поэтому моя рекомендация – раз в год посещать профилактический осмотр, делать ортопантомограмму и проводить профессиональную гигиену (тоже раз в год).

Панорамный снимок пациента К. во время визита в клинику через 1 год после лечения. Как видим, все отлично:
