Пациент: К., 9 лет
Врач: Якушенков Владислав Викторович, врач-стоматолог, ортодонт
Причина обращения пациента: сужение верхней челюсти, выраженная скученность зубов
Особенность: лечение в периоде сменного прикуса (есть и молочные, и постоянные зубы)
Решение: двухэтапная коррекция - сначала расширение верхней челюсти аппаратом HAAS; затем частичная брекет-система
Срок лечения: около 1 года. Полноценное лечение на брекетах запланировано на возраст 11-12 лет.
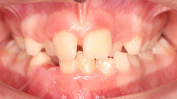
В 9 лет у пациентки К. была очевидная проблема – сильная скученность зубов на верхней челюсти. Однако причина крылась глубже: сама верхняя челюсть была слишком узкой. Это классическая ситуация, часто связанная с такой вредной привычкой, как ротовое дыхание. Когда ребёнок постоянно дышит ртом, язык занимает неправильное положение, не оказывая естественного расширяющего давления на верхнюю челюсть, и та развивается недостаточно.
Если оставить всё как есть, к моменту прорезывания всех постоянных зубов, которые обычно крупнее молочных, места им не хватит. Это может привести к ещё более выраженной скученности и кривизне зубов и даже в самом неблагоприятном случае удалению 2 моляров просто для того, чтобы остальные смогли уместиться. Также высок риск формирования перекрестного прикуса, когда нижние зубы начинают перекрывать верхние из-за несоответствия размеров челюстей, и проблем с гигиеной.
Но у пациентки К. было важное преимущество – ей всего 9 лет. В этот период нёбный шов (соединение двух половинок верхней челюсти) ещё не полностью окостенел. Это даёт уникальную возможность мягко и физиологично расширить костную основу, а не просто подвигать зубы. Именно на этом основан первый этап лечения.

Была применена проверенная тактика двухэтапного лечения
1. Расширение челюсти аппаратом HAAS
Аппарат HAAS – это несъёмный ортодонтический аппарат, который фиксируется на первые постоянные моляры («шестёрки»). В центре аппарата находится расширяющий винт.
Принцип действия: родители по инструкции врача (обычно 1-2 раза в день) поворачивали ключом винт. Это создавало очень мягкое, но постоянное давление, которое раздвигало две половинки верхней челюсти в области нёбного шва. Кость расширялась, а образовавшаяся в центре щель самостоятельно заполнялась новой костной тканью.
Результат: за несколько месяцев была увеличена ширина всей верхней челюсти, создано недостающее костное пространство.
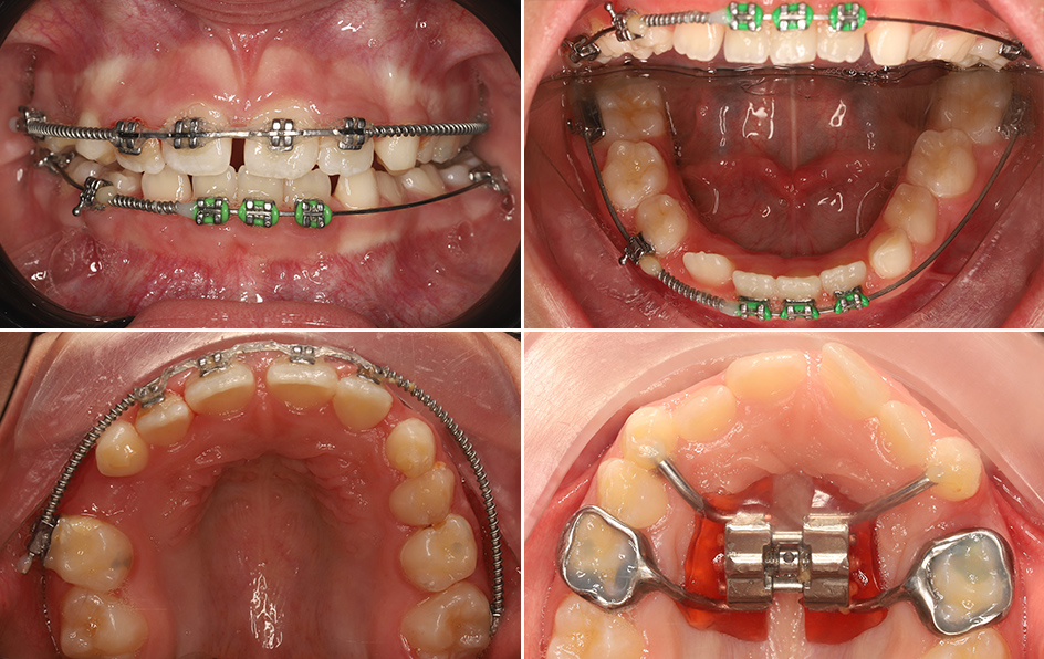
2. Устранение скученности на частичной брекет-системе
После достижения нужной ширины аппарат HAAS сняли. Поскольку у К. ещё сохранялись молочные зубы, установка полной брекет-системы была невозможна и не нужна. Была зафиксирована частичная брекет-система только на верхние постоянные зубы с целями:

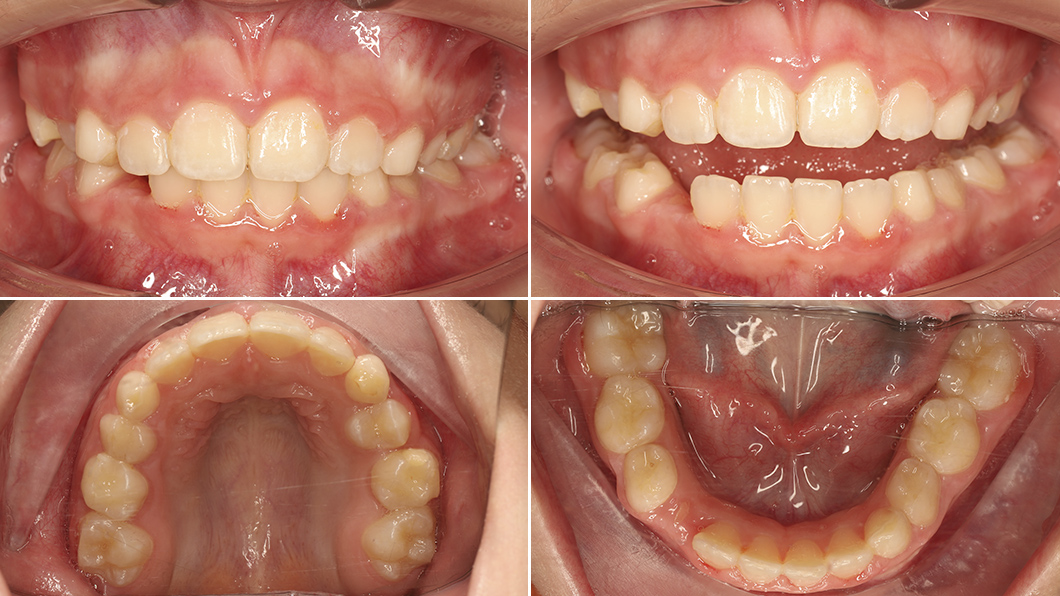
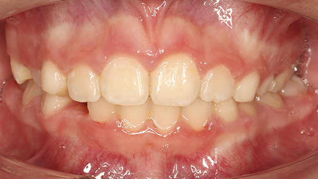
Сейчас пациентка К. находится на этапе наблюдения. Мы контролируем процесс естественной смены оставшихся зубов. В 11-12 лет, когда прорежутся все постоянные зубы, планируется второй, завершающий этап – установка полной брекет-системы для идеальной расстановки всех зубов и коррекции прикуса. Этот этап будет значительно проще, быстрее и предсказуемее благодаря проделанной работе.

Комментарий лечащего врача, Владислава Викторовича Якушенкова:
«Мы использовали естественные возможности растущего организма, чтобы решить проблему на уровне кости, а не бороться с её последствиями на уровне зубов. Аппарат HAAS – это средство управления ростом челюсти. Такой подход позволяет избежать удаления постоянных зубов в будущем и значительно упрощает (а часто и удешевляет) дальнейшее лечение в подростковом возрасте. Мы создаём правильные условия для роста челюсти и прорезывания постоянных зубов».