Москва, ул. Бауманская, дом 32/2
Пн–Пт: 9.00–21.00 Сб, Вс: 10.00-20.00
Записаться

Наши работы

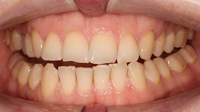
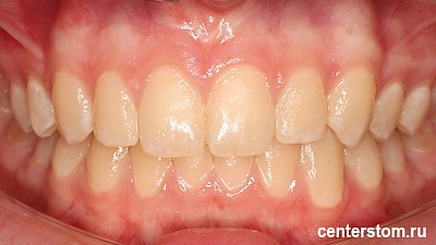
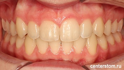
Фото до Выравнивание нижних зубов и центральной линии при скученности передних резцов
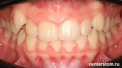
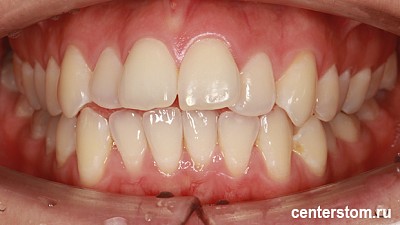
Фото после Выравнивание нижних зубов и центральной линии при скученности передних резцов
До
После
Врач: Якушенков Владислав Викторович
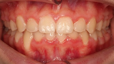
Выравнивание нижних зубов и центральной линии при скученности передних резцов
Нашей пациентке - 31 год. По профессии - модный блогер, публичная личность. Проводим выравнивание нижних зубов и центральной линии при скученности передних резцов с помощью элайнеров.
Фото до Пример как стираемость зубов перегрузила нижнечелюстной сустав. Лечение ВНЧС и восстановление зубного ряда
Фото после Пример как стираемость зубов перегрузила нижнечелюстной сустав. Лечение ВНЧС и восстановление зубного ряда
До
После
Врач: Минасян Карен Акопович
Пример как стираемость зубов перегрузила нижнечелюстной сустав. Лечение ВНЧС и восстановление зубного ряда
Отсутствие шестых жевательных зубов у пациента вызвало патологическую стираемость зубов и перегрузило нижнечелюстной сустав. Пример лечения с помощью имплантации и протезирования коронками и винирами. Фото до и после.
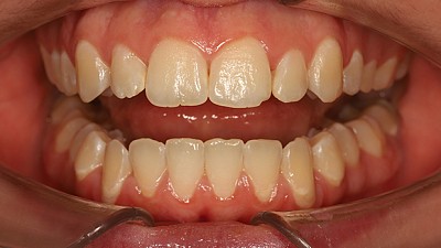
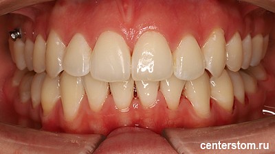
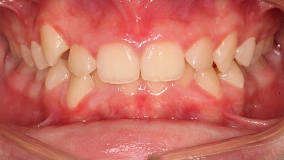
Фото до Исправление перекрестного прикуса и скученности зубов элайнерами в 37 лет. Почему брекеты не подошли?
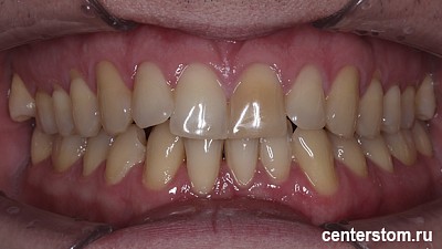
Фото после Исправление перекрестного прикуса и скученности зубов элайнерами в 37 лет. Почему брекеты не подошли?
До
После
Врач: Якушенков Владислав Викторович
Исправление перекрестного прикуса и скученности зубов элайнерами в 37 лет. Почему брекеты не подошли?
Нашей пациентке 37 лет. Перекрестный прикус передних зубов и премоляров. Скученность передних зубов. Почему не брекеты? - Мать двоих детей, мало свободного времени. Пример лечения на элайнерах. Много фото!
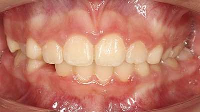
Фото до Ортодонтическое лечение пациентки Софьи К., 21 год: восстановление косметического центра и профилактика мезиального прикуса
Фото после Ортодонтическое лечение пациентки Софьи К., 21 год: восстановление косметического центра и профилактика мезиального прикуса
До
После
Врач: Туркенич Дмитрий Владимирович
Ортодонтическое лечение пациентки Софьи К., 21 год: восстановление косметического центра и профилактика мезиального прикуса

Пациентка в возрасте 21 год поступила в «Центрстом» с жалобой на кривостоящие зубы и выступающую нижнюю челюсть. Наш ортодонт поставил диагноз тенденция к мезиальному прикусу, двухсторонний перекрестный прикус в боковых участках, ретинированный правый нижний клык, смещение косметического центра нижней челюсти вправо на 4 мм и скученность верхних и нижних фронтальных зубов.

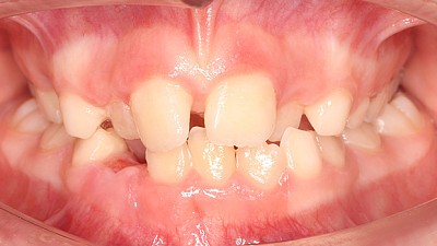
Фото до Коррекция мезиального прикуса с аппаратом Туркенича для пациента Никиты К., 16 лет
Фото после Коррекция мезиального прикуса с аппаратом Туркенича для пациента Никиты К., 16 лет
До
После
Врач: Туркенич Дмитрий Владимирович
Коррекция мезиального прикуса с аппаратом Туркенича для пациента Никиты К., 16 лет

Пациент в возрасте 16 лет поступила в «Центрстом» с жалобами на неправильный прикус и неровно стоящие верхние зубы. Наш ортодонт поставил диагноз мезиальный прикус, скученность верхних резцов, • недостаток места для 13 зуба и смещение верхнего косметического центра вправо.

Фото до Исправление мезиального прикуса и кривых верхних зубов для пациентки Марии Б., 17 лет
Фото после Исправление мезиального прикуса и кривых верхних зубов для пациентки Марии Б., 17 лет
До
После
Врач: Туркенич Дмитрий Владимирович
Исправление мезиального прикуса и кривых верхних зубов для пациентки Марии Б., 17 лет

Пациентка в возрасте 17 лет поступила в «Центрстом» с жалобой на неправильный прикус, т.е. выступающую нижнюю челюсть и криво стоящие верхние передние зубы. Наш ортодонт поставил диагноз мезиальный прикус, обратное резцовое перекрытие, недостаток места для верхних боковых резцов, скученность нижних фронтальных зубов и вестибулярное положение верхних клыков - смещение наружу, к щеке и губе, когда клыки выступают за дугу зубного ряда.

Фото до Командная работа: ортодонт и гнатолог на страже здоровья все полости рта
Фото после Командная работа: ортодонт и гнатолог на страже здоровья все полости рта
До
После
Врачи: Якушенков Владислав Викторович, Определенкина (Зайцева) Наталья Евгеньевна
Командная работа: ортодонт и гнатолог на страже здоровья все полости рта
Командная работа: ортодонт и гнатолог на страже здоровья все полости рта

Пациент в возрасте 19 лет поступил в «Центрстом» с жалобой на эстетический дефект передних зубов и наличие меловых пятен (очагов деминерализации). Наш ортодонт принял решение провести комплексную подготовку (гигиена и реминерализация), лечение на металлических брекетах с ретейнером и поддерживающую терапию.

Фото до Раннее вмешательство: расширение челюсти в 9 лет, чтобы избежать сложностей в будущем
Фото после Раннее вмешательство: расширение челюсти в 9 лет, чтобы избежать сложностей в будущем
До
После
Врач: Якушенков Владислав Викторович
Раннее вмешательство: расширение челюсти в 9 лет, чтобы избежать сложностей в будущем

Пациент в возрасте 9 лет поступил в «Центрстом» с жалобой на сужение верхней челюсти и выраженную скученность зубов. Наш ортодонт принял решение провести двухэтапную коррекцию - сначала расширение верхней челюсти аппаратом HAAS, а затем частичная брекет-система.

Фото до Защита детских зубов от стирания путем коррекции скученности у пациентки 11 лет
Фото после Защита детских зубов от стирания путем коррекции скученности у пациентки 11 лет
До
После
Врач: Якушенков Владислав Викторович
Защита детских зубов от стирания путем коррекции скученности у пациентки 11 лет

Пациент в возрасте 11 лет поступил в «Центрстом» с жалобой на скученность зубов, выпирающие резцы, начавшаяся патологическая стираемость нижних зубов. Наш ортодонт поставил диагноз выраженная скученность.

Фото до Как мы подготовили место для будущей коронки и устранили скученность зубов у взрослой пациентки всего за 1,5 года
Фото после Как мы подготовили место для будущей коронки и устранили скученность зубов у взрослой пациентки всего за 1,5 года
До
После
Врач: Якушенков Владислав Викторович
Как мы подготовили место для будущей коронки и устранили скученность зубов у взрослой пациентки всего за 1,5 года

Пациентка в возрасте 31 года поступила в «Центрстом» с жалобой на скученность передних зубов, перекрёстный прикус справа, невозможность протезирования тёмного и развёрнутого зуба №15. Наш ортодонт поставил диагноз скученность резцов и перекрёстный прикус справа в области премоляров.

Фото до Мы выровняли зубы, сохранив здоровье дёсен - лечение пациента со склонностью к рецессии
Фото после Мы выровняли зубы, сохранив здоровье дёсен - лечение пациента со склонностью к рецессии
До
После
Врач: Якушенков Владислав Викторович
Мы выровняли зубы, сохранив здоровье дёсен - лечение пациента со склонностью к рецессии

Пациент в возрасте 40 лет поступил в «Центрстом» с жалобой на скученность зубов, отсутствие одного нижнего резца (зуб 41) и эстетический дискомфорт. Повторное лечение после ношения брекетов. Наш ортодонт поставил диагноз скученность зубов на нижней челюсти, отсутствие зуба 41 (нижнего резца) и высокий риск прогрессирования рецессии при лечении классическими брекетами, которые в такой ситуации могли бы усугубить проблему. Нужен был максимально деликатный, предсказуемый и контролируемый метод.

Фото до Мы исправили «детскую» проблему прикуса у взрослой пациентки
Фото после Мы исправили «детскую» проблему прикуса у взрослой пациентки
До
После
Врач: Якушенков Владислав Викторович
Мы исправили «детскую» проблему прикуса у взрослой пациентки

Пациентка в возрасте 29 лет поступила в «Центрстом» с жалобой на выпирающие передние зубы, скученность и трудности с откусыванием пищи. Повторное лечение после ношения брекетов. Наш ортодонт поставил диагноз дистальный прикус 2 класса.

Фото до Как мы мягко расширили челюсти и освободили место для клыков, чтобы создать идеальную улыбку
Фото после Как мы мягко расширили челюсти и освободили место для клыков, чтобы создать идеальную улыбку
До
После
Врач: Якушенков Владислав Викторович
Как мы мягко расширили челюсти и освободили место для клыков, чтобы создать идеальную улыбку

Пациентка в возрасте 15 лет поступила в «Центрстом» с жалобой на выпирающие клыки наверху и неровность зубов. Наш ортодонт поставил диагноз сужение верхней и нижней зубных дуг и вестибуло- и супраположение клыков.

Фото до История улыбки: как мы помогли юной пациентке исправить положение клыка без брекетов и удаления зубов
Фото после История улыбки: как мы помогли юной пациентке исправить положение клыка без брекетов и удаления зубов
До
После
Врач: Якушенков Владислав Викторович
История улыбки: как мы помогли юной пациентке исправить положение клыка без брекетов и удаления зубов

Пациентка в возрасте 15 лет поступила в «Центрстом» с жалобой на эстетический дефект клыка на верхней челюсти. Наш ортодонт поставил диагноз перекрестный прикус в области клыка на верхней челюсти.

Фото до Удаление двух зубов мудрости повышенной сложности
Фото после Удаление двух зубов мудрости повышенной сложности
До
После
Врач: Минасян Карен Акопович
Удаление двух зубов мудрости повышенной сложности

Пациентка В. обратилась в наш Центр с жалобами на дискомфорт и боли в области 28 и 38 зубов. На них при осмотре был выявлен кариес (следствие недостаточной гигиены полости рта). Поэтому терапевт направил пациентку на удаление восьмерок, т.к. из-за их расположения провести качественное лечение было невозможно, как соблюдать правила ежедневной домашней гигиены – пациентке В. было просто тяжело достать до восьмых зубов щеткой.

Фото до Тремы, диастема, первичная адентия зуба
Фото после Тремы, диастема, первичная адентия зуба
До
После
Врач: Емельянова Ольга Сергеевна
Тремы, диастема, первичная адентия зуба

Пациентка 16 лет. Тремы, диастема, первичная адентия зуба 35.

Фото до Вестибулярное супраположение клыков верхней челюсти
Фото после Вестибулярное супраположение клыков верхней челюсти
До
После
Врач: Емельянова Ольга Сергеевна
Вестибулярное супраположение клыков верхней челюсти
Лечение с удалением постоянных премоляров верхней челюсти и удалением нижнего резца. Лечение на керамической брекет-системе, срок лечения составил 18 месяцев.
Фото до Мезиальная окклюзия, скученное положение зубов нижней челюсти
Фото после Мезиальная окклюзия, скученное положение зубов нижней челюсти
До
После
Врачи: Емельянова Ольга Сергеевна, Минасян Карен Акопович
Мезиальная окклюзия, скученное положение зубов нижней челюсти
Мезиальная окклюзия, скученное положение зубов нижней челюсти
Лечение на металлической брекет-системе с установленными минивинтами (микроимплантами) на нижней челюсти для дистализации зубов нижней челюсти.
Записаться
Москва, ул. Бауманская, дом 32/2
Пн–Пт: 9.00–21.00 Сб, Вс: 10.00-20.00