Пациент: В., 11 лет
Врач: Якушенков Владислав Викторович, врач-стоматолог, ортодонт
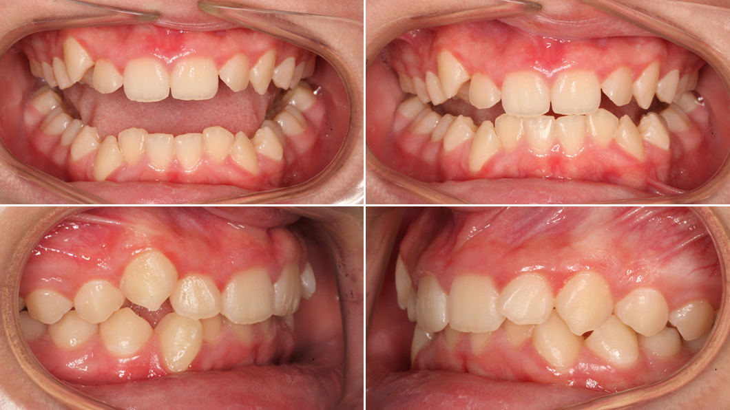
Причина обращения пациента: скученность зубов, выпирающие резцы, начавшаяся патологическая стираемость нижних зубов
Особенность: лечение в сменном прикусе (у ребёнка ещё есть молочные зубы) с целью профилактики
Решение: ортодонтическое лечение на брекет-системе
Срок лечения: около 2 лет
Папа привел В. на консультацию с типичной жалобой на неровные, скученные и выпирающие вперёд зубы. Однако внимательный осмотр выявил куда более серьёзную проблему: на резцах нижней челюсти уже были заметны признаки патологической стираемости эмали.

В норме наши зубы рассчитаны на то, чтобы служить всю жизнь, постепенно и равномерно стачиваясь лишь в пожилом возрасте. Патологическая стираемость – это активный, ускоренный процесс, при котором твёрдые ткани зуба (эмаль, а затем и дентин) теряют свой объём гораздо быстрее, чем заложено природой.
Почему это произошло у ребёнка? Причина часто кроется в неправильном прикусе. Диагноз В. – выраженная скученность. Когда зубам тесно, они занимают неправильные позиции, и некоторые из них (чаще всего выступающие вперёд нижние резцы) начинают принимать на себя более сильную нагрузку, для которой не предназначены. Иногда к этому добавляются и психологические факторы, усугубляющие проблему.
Если процесс не остановить, к 20-30 годам можно столкнуться с серьёзными последствиями:
Задачей ортодонта стало не просто исправить прикус, а сделать это так, чтобы остановить стираемость и сохранить здоровые ткани на долгие годы.
11 лет – это оптимальное время для начала ортодонтического лечения при таких проблемах. Челюсти ещё активно растут, что позволяет эффективно скорректировать их форму и размер, создав место для всех постоянных зубов.
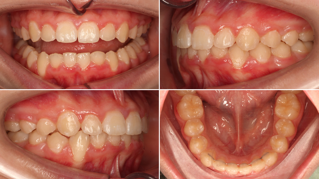
Для пациентки В. была выбрана несъёмная брекет-система. Этот метод даёт максимальный контроль над положением каждого зуба и позволяет эффективно устранить скученность, выровнять зубные ряды и установить правильные контакты между верхними и нижними зубами.
Диагностика включала:
Лечение длилось около 2 лет. За это время с помощью брекетов были устранены давление и теснота, зубы заняли правильные позиции в широкой ровной дуге, нормализовано смыкание – верхние и нижние резцы начали контактировать правильно, без травмирующего давления. Процесс патологической стираемости был остановлен. Этапы лечения включали период адаптации, регулярные активации у врача, тщательную гигиену.
Лечение было проведено в самый подходящий период, что обеспечило стабильность результата и здоровье зубочелюстной системы на долгие годы:

Комментарий лечащего врача, Владислава Викторовича Якушенкова:
«Нужно ли детям использовать ретенционные аппараты после снятия брекетов или элайнеров? Да, обязательно: как и взрослым, детям нужно использовать все средства ретенции, в том числе каппы. У детей этот процесс занимает меньше времени, чем у взрослых – чаще всего в течение года дети носят ретенционные каппы каждую ночь, потом постепенно снижают частоту надевания до 1 ночи в неделю. Со временем от капп отказываются полностью. Но график ношения капп строится индивидуально для каждого пациента, по итогам профилактических визитов к ортодонту».